Cell Reports:何成/刘鹏揭示SLC44A1缺失致中枢神经系统髓鞘发育障碍的新机制及治疗策略
2025年11月,海军军医大学等单位的相关研究人员在《Cell Reports》(IF: 6.9)上发表了题为 “SLC44A1 deficiency impedes myelin development in the central nervous system” 的研究论文,系统阐明了溶质载体蛋白SLC44A1在中枢神经系统(CNS)髓鞘发育中的核心作用,为SLC44A1相关儿童期神经退行性疾病提供了全新治疗方向。

亮点概述:
- 少突胶质细胞富集的SLC44A1是斑马鱼和小鼠中枢神经系统髓鞘形成的关键因子。
- SLC44A1缺失会阻碍少突胶质细胞成熟和髓鞘形成,导致运动协调与认知功能受损。
- SLC44A1通过调控胆碱代谢通路,影响磷脂酰胆碱合成及髓鞘脂质组成。
- 补充胞磷胆碱可显著改善SLC44A1缺陷动物的髓鞘发育障碍,具有潜在临床转化价值。
研究背景:
少突胶质细胞(OLs)的髓鞘形成能够使动作电位跳跃式传播,并为神经元轴突提供长期营养支持,从而维持中枢神经系统白质和灰质的神经完整性。髓鞘形成的损伤会破坏神经冲动的传递和功能连接的完整性,导致一系列与神经发育障碍相关的认知和运动缺陷。然而,阻碍髓鞘发育的分子屏障仍然知之甚少。
胆碱作为一种水溶性季铵盐阳离子,是细胞功能必需的营养素,不仅是神经递质乙酰胆碱的前体,还参与磷脂合成以维持细胞膜结构与功能,同时为多种生化反应提供一碳单位。由于胆碱无法自由穿透细胞膜,其细胞内摄取依赖载体介导的转运过程。SLC44A1(又称胆碱转运蛋白样蛋白 1)被认为是跨越细胞膜和线粒体膜的通用胆碱转运体,已被证实与运动障碍、肿瘤发生等多种疾病相关。研究发现,SLC44A1基因多态性与儿童认知衰退相关,而该基因的纯合移码突变会导致一种新型儿童期起病的神经退行性疾病,临床表现为进行性共济失调、震颤、认知衰退、视神经萎缩等,脑部MRI显示小脑萎缩和脑白质病变,提示存在严重髓鞘缺陷,但目前尚无有效治疗手段,其潜在分子机制也尚未被深入探究。
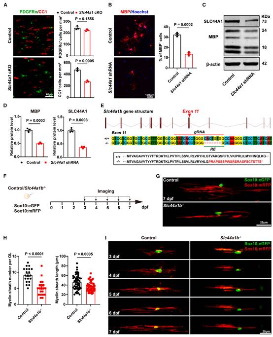
研究团队首先通过公共单细胞 RNA 测序(scRNA-seq)数据集分析,明确了 SLC44A1 在小鼠中枢神经系统中的表达模式。结果显示,SLC44A1在成熟OLs中高度富集,而在少突胶质前体细胞(OPCs)、神经元、星形胶质细胞和小胶质细胞中表达极低。进一步的原位杂交和免疫荧光实验证实,SLC44A1主要表达于Sox10阳性的OLs,在P21小鼠胼胝体中几乎不表达于 PDGFRα 阳性的OPCs。SLC44A1的表达时序与脑髓鞘化进程高度一致,出生后7天表达量较低,14天开始升高,21天达到峰值并持续至成年,提示其可能参与OLs成熟和髓鞘形成过程。
为探究SLC44A1的功能,研究团队利用 CRISPR-Cas9 技术构建了少突胶质细胞特异性SLC44A1敲除小鼠(Slc44a1 cKO),发现P21时视神经呈半透明状,大脑胼胝体、皮质、纹状体和小脑等多个区域的髓鞘碱性蛋白(MBP)表达显著降低,Western blot结果也证实胼胝体和小脑中MBP蛋白水平大幅下降。透射电镜观察显示,敲除小鼠视神经和胼胝体的有髓轴突比例减少、髓鞘厚度变薄,表明髓鞘发育存在严重缺陷。

OL谱系中SLC44A1的缺失在发育过程中表现出髓鞘形成不足
研究人员进一步构建了Slc44a1b基因移码突变斑马鱼模型,Slc44a1b缺失导致少突胶质细胞成熟受阻,3至5天幼鱼脊髓中髓鞘片段的数量和长度显著下降,单个少突胶质细胞形成的髓鞘片段长度和数量也明显减少,动态髓鞘形成过程受到抑制。行为学实验显示,成年敲除小鼠在转棒实验中坠落潜伏期显著缩短,平衡木行走时后肢打滑次数增加,新物体识别实验中识别指数下降,表现出运动协调能力、平衡能力和认知功能的明显缺陷,模拟了人类患者的临床表型。
为阐明SLC44A1缺失导致髓鞘发育障碍的分子机制,研究团队对SLC44A1敲低的原代少突胶质细胞进行了RNA测序(RNA-seq)分析。结果显示,共有 1430个基因表达发生显著改变,其中髓鞘形成相关基因(Mbp、Mag、Mog、Cnp 等)显著下调。基因集富集分析(GSEA)和基因本体(GO)富集分析表明,下调基因主要富集于少突胶质细胞成熟、髓鞘形成等生物学过程。KEGG通路富集分析显示,下调基因还显著富集于代谢相关通路,尤其是胆碱代谢通路。进一步研究发现,胆碱代谢通路中的关键基因—磷酸胞苷酰转移酶 1a(Pcyt1a)在SLC44A1敲低后表达显著降低,该基因编码的PCYT1A蛋白是磷脂酰胆碱合成的限速酶。qPCR和Western blot实验进一步证实,SLC44A1敲低会导致少突胶质细胞中Pcyt1a mRNA 和PCYT1A蛋白水平显著下降。

SLC44A1的缺失会破坏与髓鞘形成和胆碱代谢相关的转录组
脂质组学分析显示,SLC44A1敲除小鼠髓鞘中多种脂质成分显著减少,其中磷脂酰胆碱(PC)的下降最为明显,不同链长和不饱和度的PC均出现减少,且排名前十的差异脂质成分中PC占比最高。代谢组学分析发现,SLC44A1敲低的少突胶质细胞中有86种代谢物水平发生显著改变,其中72种下调,这些下调代谢物富集于胆碱代谢通路,其中胞磷胆碱的下降最为显著,而胞磷胆碱是磷脂酰胆碱合成的直接上游代谢物,由PCYT1A催化磷酸胆碱生成。这些结果表明SLC44A1缺失会扰乱胆碱代谢和磷脂酰胆碱合成,进而影响髓鞘脂质组成。

SLC44A1功能丧失损害OLs中磷脂生物合成和胆碱代谢
为验证胞磷胆碱补充是否能改善SLC44A1缺陷导致的髓鞘发育障碍,研究团队在转基因斑马鱼和敲除小鼠中进行了干预实验。在转基因斑马鱼中,从受精后1天开始补充胞磷胆碱,受精后5天的共聚焦成像显示,胞磷胆碱可显著增加突变体脊髓背侧和腹侧的MBP阳性区域和荧光强度,7天胚胎期的透射电镜显示有髓轴突密度明显升高。在敲除小鼠中,从P5开始腹腔注射胞磷胆碱至 P21,黑金染色显示皮质和纹状体的髓鞘密度显著增加,免疫荧光实验证实胼胝体中CC1阳性的成熟少突胶质细胞数量增多,透射电镜显示视神经和胼胝体的有髓轴突比例明显升高,表明胞磷胆碱补充可有效改善SLC44A1缺失导致的髓鞘发育缺陷。
综上所述,该研究揭示了SLC44A1在中枢神经系统髓鞘发育中的关键作用,阐明了其通过调控胆碱代谢和磷脂酰胆碱合成影响少突胶质细胞成熟和髓鞘形成的分子机制,为SLC44A1相关神经退行性疾病的临床治疗提供了新的思路和实验依据。

